Trisomie 21 : de nouveaux tests pour un dépistage plus efficace
Publié le 20 novembre 2015 à 10:51
Les tests de dépistage de la trisomie 21 chez le fœtus sont actuellement assez approximatifs, obligeant à recourir fréquemment à l’amniocentèse pour confirmer ou non un diagnostic. De nouveaux tests de dépistage pourraient bientôt être autorisés, permettant ainsi de diminuer le nombre de recours non justifiés à cette amniocentèse, méthode jugée invasive puisqu’elle peut se solder par une fausse couche.
Actuellement des tests de dépistage approximatifs
La trisomie 21 est une anomalie chromosomique dont la prévalence à la naissance augmente avec l’âge maternel.
Actuellement, son dépistage repose sur 2 examens :
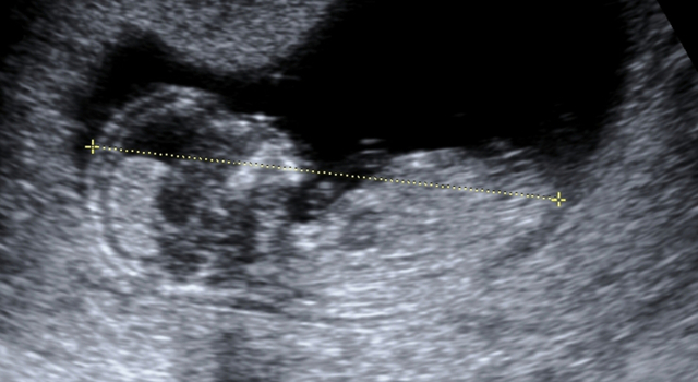
- la mesure de la clarté nucale du fœtus faite lors de l’échographie du premier trimestre qui a lieu entre la 11ème et la 13ème semaine d’aménorrhée.
En effet, avant la 14ème semaine les fœtus ont une poche de fluide sous la peau de la nuque visible à l’échographie. Le médecin mesure la taille de cette poche pour repérer un risque éventuel de trisomie 21 car les bébés atteints de cette pathologie ont une quantité de liquide plus importante.
- certains marqueurs sanguins (l'alfa-fœtoprotéine ou AFP, l'hCG et l'œstriol non conjugué) dont les taux peuvent être un peu différents des valeurs normales : ces mesures donnent également une indication sur un éventuel risque de trisomie 21.
A partir de ces 2 examens, le médecin calcule un risque global qui, s’il est supérieur ou égal à 1/250, peut faire envisager une trisomie 21.
Toutefois, cette mesure du risque n’est qu’une évaluation approximative et ne certifie absolument pas que le fœtus soit atteint de trisomie 21.
Pour confirmer cette trisomie, il est alors nécessaire de recourir à une amniocentèse, un examen beaucoup plus invasif qui peut entraîner un faible risque de perte fœtale.
Pour réduire le nombre de recours à cet examen invasif, la HAS (Haute Autorité de santé) préconise le recours à de nouveaux tests sanguins de dépistage.
Un test de dépistage moins risqué
Ces nouveaux tests sanguins de dépistage (appelés dépistage prénatal non invasif ou tests DPNI) permettent d'évaluer le risque de trisomie 21 de façon beaucoup plus précise que la clarté nucale ou les marqueurs sanguins : en effet, le taux de détection de trisomie 21 par le DPNI est supérieur à 99% et le taux de faux positifs inférieur à 1%.
En cas de risque avéré avec ces nouveaux tests, il sera tout de même nécessaire de faire une amniocentèse pour confirmer le diagnostic : mais ces tests étant très précis et très fiables, le recours à l’amniocentèse sera beaucoup moins fréquent.
Ces tests DPNI sont basés sur la recherche sanguine d'une sur-représentation de séquences d'ADN fœtal provenant du chromosome 21 au sein de l'ADN fœtal libre circulant dans le sang maternel.
Ces tests seront-ils destinés à toutes les femmes enceintes ?
Pour le moment, ces nouveaux tests ne sont pas encore autorisés, mais, dans la mesure où de nombreuses études ont montré leur efficacité, la Haute Autorité de Santé travaille pour l’intégrer dans la stratégie de dépistage.
Un inconvénient toutefois pourrait freiner son utilisation à toutes les femmes enceintes : son prix. En effet, le DPNI est assez coûteux (entre 400 et 600 €).
Du coup, le Comité consultatif national d'éthique (CCNE) s'est dit favorable à l'introduction en France de ce dépistage dans un premier temps aux femmes à risque.
Auteur: Adrien
- Publicité -
- Publicité -
Eczéma : les bons gestes et produits pour apaiser votre peau sensible au quotidien
Acné adulte : comprendre les causes naturelles pour mieux l’apaiser
Écouter son corps : comment décrypter les signaux du stress
Énergie en berne ? Les aliments boosters à privilégier dès le matin