Problèmes dentaires courants : prévention et solutions naturelles
Publié le 27 février 2026 à 08:31
Problèmes dentaires courants : causes, prévention et solutions naturelles pour protéger dents et gencives et améliorer le bien-être bucco-dentaire.
Les problèmes dentaires font partie des soucis de santé les plus fréquents. Sensibilité, caries, gencives irritées ou mauvaise haleine touchent de nombreuses femmes, à tout âge. Souvent, ces désagréments apparaissent progressivement et sont liés à de mauvaises habitudes, au stress ou à une hygiène bucco-dentaire insuffisante. Bonne nouvelle : une grande partie de ces problèmes peut être évitée grâce à une bonne prévention. Certaines solutions naturelles peuvent également aider à soulager les inconforts du quotidien, en complément d’un suivi dentaire régulier. Voici un guide simple pour mieux comprendre les troubles dentaires les plus courants, apprendre à les prévenir et adopter des gestes naturels bénéfiques.
1. Les problèmes dentaires les plus fréquents et leurs causes
Avant de chercher des solutions, il est important de comprendre les troubles dentaires les plus répandus et ce qui les provoque.
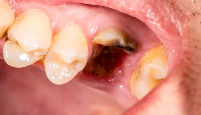
Les caries dentaires
La carie est l’un des problèmes dentaires les plus connus. Elle se forme lorsque des bactéries présentes dans la bouche transforment les sucres en acides. Ces acides attaquent l’émail et créent une cavité.

Les caries sont favorisées par :
-
une consommation excessive de sucre,
-
un brossage insuffisant ou mal réalisé,
-
des grignotages fréquents,
-
un manque de fluor.
Sans prise en charge, une carie peut évoluer et provoquer des douleurs importantes.
Les problèmes de gencives
Les gencives sensibles, rouges ou qui saignent sont souvent le signe d’une gingivite. Ce problème est causé par l’accumulation de plaque dentaire le long des gencives.
Si elle n’est pas traitée, la gingivite peut évoluer vers une affection plus sérieuse. Une bonne hygiène est donc essentielle pour préserver la santé des gencives.
La sensibilité dentaire
La sensibilité dentaire se manifeste par une douleur vive au contact du chaud, du froid ou du sucré. Elle est souvent liée à une usure de l’émail ou à un déchaussement des gencives.
Ce problème peut être aggravé par un brossage trop agressif ou l’utilisation de produits trop abrasifs.
La mauvaise haleine
La mauvaise haleine, aussi appelée halitose, est souvent liée à une accumulation de bactéries dans la bouche. Elle peut être causée par une hygiène insuffisante, une bouche sèche ou certains aliments.
Dans certains cas, elle peut aussi révéler un problème dentaire ou digestif.
2. Prévenir les problèmes dentaires au quotidien
La prévention est la clé d’une bonne santé bucco-dentaire. Des gestes simples, pratiqués régulièrement, permettent d’éviter la majorité des troubles.
Adopter une hygiène bucco-dentaire rigoureuse
Le brossage des dents est essentiel. Il doit être effectué au moins deux fois par jour, pendant deux minutes. Utilisez une brosse à dents souple pour ne pas agresser les gencives.
Le brossage doit être doux et méthodique, en insistant sur la jonction entre les dents et les gencives.
Ne pas négliger les espaces interdentaires
La brosse à dents ne suffit pas toujours à éliminer la plaque dentaire entre les dents. L’utilisation de fil dentaire ou de brossettes interdentaires est fortement recommandée.
Ce geste permet de réduire les risques de caries et d’inflammation des gencives.
Surveiller son alimentation
L’alimentation joue un rôle important dans la santé dentaire. Limitez les sucres rapides et les boissons sucrées. Privilégiez les aliments riches en calcium, comme les produits laitiers, et les fruits et légumes croquants.
Boire de l’eau régulièrement aide également à nettoyer la bouche et à limiter la prolifération des bactéries.
Consulter régulièrement un professionnel
Même sans douleur, un contrôle régulier permet de détecter les problèmes à un stade précoce. Une visite annuelle est généralement conseillée pour préserver une bonne santé dentaire.
3. Solutions naturelles pour soulager les petits problèmes dentaires
En complément des bonnes habitudes, certaines solutions naturelles peuvent aider à soulager les inconforts dentaires du quotidien. Elles ne remplacent pas un avis professionnel, mais peuvent apporter un réel confort.
Le bain de bouche naturel
Les bains de bouche à base de plantes peuvent aider à apaiser les gencives et à rafraîchir l’haleine. Une infusion de sauge ou de thym, utilisée tiède, possède des propriétés purifiantes.

Ils peuvent être utilisés une à deux fois par jour, en complément du brossage.
L’huile de coco pour l’hygiène buccale
La pratique du bain de bouche à l’huile de coco est de plus en plus populaire. Elle consiste à faire circuler une cuillère d’huile dans la bouche pendant quelques minutes avant de la recracher.
Cette méthode est appréciée pour son action assainissante et son effet sur la mauvaise haleine.
Le clou de girofle pour les douleurs dentaires
Le clou de girofle est traditionnellement utilisé pour soulager les douleurs dentaires légères. Il peut être mâché doucement ou appliqué sous forme d’huile diluée sur la zone sensible.
Cette solution doit rester ponctuelle et ne remplace pas un soin adapté.
L’aloe vera pour les gencives
L’aloe vera est connu pour ses propriétés apaisantes. Appliqué localement sur les gencives, il peut aider à calmer les irritations et les rougeurs.
Choisissez un gel pur et de qualité, spécialement adapté à un usage buccal.
En bref, les problèmes dentaires courants ne sont pas une fatalité. Une bonne prévention, associée à des gestes quotidiens simples, permet de préserver durablement la santé des dents et des gencives. Une hygiène rigoureuse, une alimentation équilibrée et des contrôles réguliers restent les piliers essentiels.
Les solutions naturelles peuvent apporter un soutien précieux pour soulager les petits inconforts et améliorer le bien-être bucco-dentaire. En restant attentive aux signaux de votre corps et en adoptant de bonnes habitudes, vous mettez toutes les chances de votre côté pour conserver un sourire sain et éclatant.
Auteur: Youssef
- Publicité -
- Publicité -
Actualité santé : les infos essentielles pour prendre soin de soi
Analyses médicales : comment bien interpréter ses résultats ?
Santé bucco-dentaire : gestes simples pour des dents en bonne santé
Bien utiliser les huiles essentielles en toute sécurité